Structural Biochemistry/Cell Organelles/Mitochondria
Function

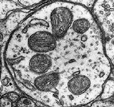
The purpose of the mitochondria in the eukaryote is to provide cellular respiration to the cell. The endosymbiotic theory asserts that the mitochondria came to be part of the eukaryote over time through a symbiotic relationship. The mitochondria consists of two membranes, the inner membrane and the outer membrane. It is speculated that the outer membrane came about when its ancestor was engulfed by the host celled via endocytosis, giving it a membrane in addition to the one the mitochondria ancestor already had. This endosymbiont theory would also explain why the mitochondria had its own DNA and why this DNA is circular. For some amino acids the genetic code of the mitochondria differ slightly from that of the nucleus (and the rest of the cell). The mitochondria's energy from respiration is stored in an ion gradient across the organelle's double membrane, known as the "Mitchell Hypothesis".
Mitochondrial Biogenesis: It’s a metabolic adaptation where mitochondrial mass increases which allow for conduction of glycolysis, oxidative phosphorylation, and ultimately result in higher mitochondrial metabolic capacity. With greater capacity to synthesize and transport fuels to mitochondria, the metabolic response would be faster, which can be beneficial for athletes during exercise. However, this improvement requires exercise and training.
Mitochondria produce ATP by oxidative respiration. A cell may contain tens or hundreds of mitochondria, depending on its energy needs. Mitochondria have two membranes: an outer membrane and an inner membrane. The inner membrane has many infoldings called cristae that increase its surface area. It is thought that as a result of the endocytosis of the bacterium, the inner mitochondrial membrane is derived from the larger eukaryote. Also, the inner membrane has structural characteristics of a prokaryotic cell membrane, while the outer membrane is similar to the host eukaryotic membrane. Mitochondria contains two distinct compartments: the matrix inside the inner membrane and the intermembrane space between the two membranes. The tricarboxylic acid cycle takes place inside the matrix, the metabolic equivalent of the prokaryotic cytoplasm. Furthermore, the fact that the mitochondria contain their own DNA and ribosomes lends further support to endosymbiosis, since these cell features would be a necessary part of any free-living organism. Both the DNA and ribosomes of mitochondria show similarities with the DNA and ribosomes of bacteria.
Inner Mitochondria & Matrix
Inside the deepest compartments of the mitochondria is the mitochondrian matrix. It is in the matrix that cellular respiration occurs, where pyruvate (a product of glycolysis in the cytosol) is converted to Carbon Dioxide and water. The matrix is the site of the citric acid cycle, whereby the electron transport chain is used to setup a proton gradient between the inner and outer membrane of the mitochondria, known as the inter membrane space. The protons in the inter membrane space accumulate to a point that the concentration gradient causes the protons to flow back into the matrix.
It is the inner membrane that is studded with the proteins necessary for the electron transport chain, such as the cytochrome electron shuttles. Upon reentering the matrix, the H+ go through ATP synthase, which in turns powers the synthase to phosphorylate adenosine diphosphate (ADP) to adenosine triphosphate (ATP). The ATP can be used later on to be coupled with thermodynamically unfavorable reactions to allow those chemical reactions to proceed. The inner membrane is folded and convoluted which allows for a greater surface area to utulize for the electron transport chain. These convolutions are what make up the cristae.
Interestingly enough the matrix of the mitochondria are one of the few locations outside of the nucleus where genetic information can be found in the cell. Mitochondrial DNA is similar in appearance to that of bacterial DNA due to its circular shape. The matrix is also known to house tRNA and ribosomes, which further solidifies the theory that the mitochondria entered the ancestral eukaryotic cell as single celled organism.
Outer Membrane
The outer mitochondria membrane consist of a phospholipid bilayer], laced throughout with integral proteins. The lipid bilayer contains porins which allow the passage of molecules which are 10,000 Daltons or less. This permeability in the outer membrane allows for water, ions, and some proteins to flow freely into the inter membrane space.
Mitochondria as ATP Consumer
It is well documented mitochondria produce the ATP necessary for life, and that a proton gradient and membrane potential are required in order for ATP synthesis to occur in the mitochondria. However, mitochondria is very dynamic in that it can reverse its process. Complex V is the enzyme responsible for final ATP synthesis at the end of oxidative phosphorylation. When the trans-membrane potential is insufficient for ATP production, complex V, or F1F0-ATP synthase, can reverse its process, instead hydrolyzing ATP in order to pump protons out of the mitochondrial matrix in order to restore the proper gradient.
In a normal mitochondria performing respiration, ATP is removed through the adenine nucleotide translocase, or ANT. This helps maintain the trans-membrane potential, favoring phosphorylation of ADP. However, ATP hydrolysis is favored when the ANT is reverse, shuttling in ATP from glycolysis.
The consumption of ATP by mitochondria can clearly be potentially lethal to cells in conditions of extreme proton gradient degradation. It can also serve as a potential mechanism used by pathogens in the case of diseases related to mitochondrial respiration inhibition, (such as lack of oxygen in stroke or heart attack, or in less extreme cases where mitochondria are affected such as Alzheimer’s or Parkinson’s).
This reversal process of complex V is directly affected by IF1, the inhibitory factor of F1F0-ATPase. In response to acidification of the matrix of the mitochondria, the IF1 protein inhibits the activity of complex V as ATPase, usually in conjunction with the halting of respiration in conditions such as hypoxia or ischaemia. There is still much to learn about the mechanisms of IF1, however it is the major factor in protecting cells from ATP depletion in hypoxic conditions.
The crystal structure of IF1 is known. The protein acts as a homodimer, inhibiting two F1-ATPase units synchronously. There are many residues in the protein complex that form many associations with subunits of the F1-ATPase. It is believed that full association of IF1 with the F1F0-ATPase occurs only during ATP hydrolysis. It is suggested that IF1 may loosely bind to the F1-ATPase even during normal respiration, and that it may also aid in the efficiency of oxidative phosphorylation by serving as a ‘coupling factor.’
Mitochondria:ROS and Authophagy
The site of Reactive Oxygen Species production with in the cell is found in the mitochondria. Reactive oxygen species (ROS) are small, highly reactive molecules that are short-lived. An incomplete one-electron reduction of oxygen is how ROS is formed.ROS includes oxygen anions, free radicals, and peroxides. Autophagy is one of the signaling pathways of the redox regulation of proteins by levels of ROS. Stress conditions activate autophagy, but pathological conditions deregulate autophagy. A build up of ROS can lead to oxidative stress that causes cellular constituents to be oxidized and damaged. Non-enzymatic and enzymatic antioxidizing agents have been created by the cell to prevent oxidative stress. Antioxidants are natural downregulators of ROS inducing autophagy. Autophagy is inhibited by TIGAR.
Role in Signaling Pathway
In addition to being known for their toxic effects on the mitochondria, ROS are also found to help in cellular signaling pathways. For example, when the brain and body are low on oxygen (hypoxia), mitochondrial generation of ROS to turn on signaling pathways that regulate transcription, maintenance of calcium stores, and overall energy management. At the level of the organism, ROS helps to control and manage fluid absorption and exchange of oxygen in the pulmonary circuit. Studies have shown ROS to help with the level of cellular signaling but more research still needs to be done to determine if whether ROS processes are innate to the mitochondria or if other cellular factors are required.
Source: Mitochondrial reactive oxygen species regulate cellular signaling and dictate biological outcomes Robert B. Hamanaka and Navdeep S. Chandel1,2,* 1 Department of Medicine, Division of Pulmonary and Critical Care Medicine, Northwestern University Medical School, Chicago, IL 60611, USA 2 Department
Reactive oxygen species
Although reactive oxygen species (ROS) is commonly viewed as toxic byproducts of mitochondrial synthesis of ATP, ROS are crucial as intermediates of cellular signaling pathways; ROS has essential role in oxidative homeostasis and propagation of signaling pathway. There are certain pathways that affect or depend on the production of ROS. The level/accumulation of ROS also suggests biological outcomes.
How ROS are produced?
- ROS are produced during electron transport chain (ETC) of mitochondrial synthesis of ATP
- Through complex I, II, and III of ETC, molecular oxygen is reduced to superoxide anion, which is primary ROS produced by mitochondria.
- ROS in the matric are produced through all complex I, II, and III
- ROS in the intermembrane space are only produced through complex III
- The rate of production of ROS depends on the concentration of electron carriers that are able to reduce molecular oxygen and type of electron carriers, which have different rate of electron release and supply among different electron carriers.
How level of ROS responses to hypoxia and mediates signaling pathways?
- Under hypoxia, cells are exposed to low oxygen. Consequently, adaptive transcriptional program, reduction of cellular oxygen usage, and decrease in the consumption of ATP are promoted by the activation of signaling pathways due the increase in production of ROS.
- In response to hypoxia, the production of ROS is increased through Q-cycle, which is a specific hypoxic generation of ROS through mitochondrial complex III. The increase in ROS then activates the signaling pathways.
- Increase in production of ROS inhibits the activity of PHD. The inhibition of activity of PHD later enables the stabilization of HIF that eventually leads to the transcriptional regulation, such as erythropoiesis, glycolysis, angiogenesis, cell cycle, and survival
- Increase in the production of ROS triggers the activity of AMPK that increase the production of ATP and minimize the cellular usage of ATP. The activation of AMPK also inhibits the activity of mTOR so that ATP is conserved by inhibiting protein translations that consumes lots of ATP. Eventually, the increase in the production of ROS also reduces the consumption of oxygen because the accumulation of ATP is maximized by activity of AMPK
How level of ROS responses to PI3-kinase pathway?
- The activation of PI3 leads to the activation of Akt that would increase the accumulation of ROS by two ways.
- Through metabolic pathway, mTOR is activated by Akt activity, and oxygen consumption and production ATP are increased. As a result, the production of ROS is increased
- Akt activity inhibits ROS scavenging by inhibiting FOXOs, which are antioxidants that inhibit the activity of ROS
Important role of ROS
- Stem cell population
- Low level of ROS leads to quiescence, which is a state of inactivity, and maintenance of stem cell population. While the level of ROS increasing, population of stem cell is differentiating and proliferating
- Oxidative homeostasis
- ROS regulates activity of phosphatases that oppose the activity of kinases and possess a reactive cysteine, which enables oxidation of cysteine and the reduction of ROS
- ROS maintains oxidative homoeostasis through regulating phosphatases
- TNFα treatment
- Outcomes of TNFα treatment depends on activity of two TNFR complexes
- NF-ĸB → cell survival
- JNK → cell death
- The activity of TNFR complexes depend on cellular level of ROS
- Increasing level of ROS → increasing activity of JNK and decreasing activity of NF-ĸB → cell death
- Decreasing level of ROS → decreasing activity of JNK and increasing activity of NF-ĸB → cell survival
How ROS affects the cellular transformation?
- Cellular transformation is caused by the activation of oncogenes and loss of tumor suppressor genes. As a result, there are signaling pathways controlling proliferation, survival and metabolism of cancer cells.
- In normal cells, high level of ROS triggers the activation of tumor suppressor to enable the apoptosis and senescence
- High level of ROS → high mutation rate and genomic instability → tumor growth
- ROS as signaling intermediates: if Ras or Myc is expressed due to certain accumulation of ROS, the cellular transformation will occur.
- Vicious cycle
- lose of tumor suppressor
- sustainability of higher level of ROS
- proliferation, angiogenesis, and survival pathway of tumor
- more accumulation of ROS
- leads to #1
- High level of ROS not only promote tumor growth but also increases possibility of metastasis, the spread of cancer cells from one part to another non-adjacent part
Misconception about ROS
- Misconception #1: ROS are solely damaging agents
- It is wrong because only when the accumulation of ROS is really high, the irreversible damages (cellular transformation, tumor growth, etc.) will occur. In fact, certain amount of ROS is required for the cell to proliferate, differentiate, and promote the fitness of the organisms.
- Misconception #2: Because ROS contributes to human aging and pathologies, mortality can be increased through scavenging ROS by antioxidants.
- It is not true because study has shown there is a correlation between lifespan extension and high oxidative stress. This correlation suggests the association between lifespan extension with increase in mitochondrial metabolism and production of ROS
Quality control
Reactive oxygen species (ROS), the byproducts of synthesis of ATP in mitochondria, is harmful; ROS damage molecules in mitochondria; as a result, mitochondria are no longer functional. The accumulation of molecular damage would finally lead to cellular degeneration and death. The solution of the accumulation of ROS in mitochondria is the quality control (QC) mechanisms that keep mitochondria functional. Although different QC pathways minimize the harm of ROS in different ways, each QC pathway has its own capacity of regulating the ROS. Therefore, the mitochondrial QC work into a hierarchical surveillance network.
QC at molecular level
- ROS scavenging
- The first defense in a network of QC pathways
- Counteract molecular damage when a critical threshold of molecular damage is reached
- Key components: small molecules and enzymes
- Decelerate the speed of molecular damaging
- Although ROS scavenging pathways are effective in decelerating the space, they are unable to completely prevent molecular damage
- Repair and Refolding
- The second defense in a network of QC pathways
- Repair specific modifications and restore the function of impaired function after damage has occurred
- The homeostasis of mitochondria protein is controlled through protein degradation, de novo protein synthesis, and refolding of misfolded proteins back to their original 3-D structure
- The repair of damaged mitochondrial DNA (mtDNA), which encodes essential subsets of proteins, the two RNA subunits of the mitochondrial ribosome and tRNAs needed for mitochondrial protein biosynthesis, is also important
- Base excision repair
- Direct reversal
- Mismatch repair
- Proofreading activity of polymerase during mtDNA replication
- However, majority of proteins are not able to repair or refold efficiently.
- Removal and replacement
- The defense in a network of QC pathways after the repair and refolding of proteins
- A molecular pathway of removing aberrant protein through protein degradation machinery when a critical threshold of unfolded or damaged protein is reached
- Due to the limited capacity of repair and refolding of proteins, there is further decline of cellular function, removal and replacement of damaged proteins through proteolysis
- Degradation of damaged proteins; cleavage of presequences and the maturation of proteins
- replacement with newly synthesized functional proteins
Even though mitochondrial QC in molecular level can somewhat regulate the damage due to ROS, it is not sufficient enough to keep mitochondria functional and proliferating over time. Since several mitochondrial protein complexes are also encoded by nuclear genome, after the removal of damaged proteins, the coordinated expression of mitochondrial and nuclear genes and correct assembly of the proteins into macromolecular complexes is also essential for keeping mitochondrial functional. This last crucial step is dependent on the import of proteins from cytoplasm and a correct inner-mitochondrial sorting.
QC at the organellar level
- Fission and fusion of mitochondria
- The first QC pathway in organgllar level when the accumulation of damage molecules can not be solved by molecular QC pathways
- Fission – content separation
- Separation of larger organelle into multiple smaller organelles
- Controlled by three proteins: Dnm1, Fis1 and Mdv1
- Fusion – content mixing
- Combination of multiple smaller organelles into larger organelle
- Controlled by three proteins: Fzo1, Ugo1 and Mgm1
- Through fission and fusion, mitochondria are able to maintain their functions due to degradation of damaged mitochondria; each mitochondria wouldn’t have too much damaged components since content are either mixing or separating from each other.
- High stress → fission
- Low stress → fusion
- Mitophagy
- The last step of mitochondrial QC pathway
- The remaining damaged and dysfunctional mitochondria are eventually eliminated from the vital mitochondrial network
- Mitophagy is a type of autophagy (“self-eating”) that the whole mitochondria are engulfed by autophagic membrane, leading the formation of autophagosomes
- Works with fission and fusion
- The mitochondria network is separated into individual mitochondria through fission. The damaged or dysfunctional individual mitochondria is then eliminated (“eaten”) through mitophagy. The remaining vital mitochondria are combined together into a new vital mitochondrial network through fusion.
- It is highly selective process that is tightly regulated.
Mitophagy in mammalian cells is regulated via PINK 1 which is a serine/threonine kinase PTEN-induced putative kinase and the E3 ubiquitin ligase Parkin. In a healthy mitochondria PINK 1 is cleaved by PARL in the inner mitochondrial membrane. However, when there is sustained mitochondrial damage PINK 1 is able to accumulate in the outer mitochondrial membrane where it cannot be cleaved by PARL. This accumulation of PINK 1 attracts Parkin which in turn induces mitophagy.
Endosymbiont Theory
In 1905, Mereschkowsky, a Russian biologist, published a paper on the theory that photosynthetic bacteria are the ancestors of modern day plant chloroplasts. Though this research was mostly ignored for several years, scientists came to see the similarities between isolated living bacteria and eukaryotic mitochondria. It is now largely accepted that mitochondria are descendants of "free-living" bacteria that were engulfed and incorporated as organelles by eukaryotic cells. The endosymbiont theory was further confirmed when mitochondria were discovered to contain their own DNA. It was confirmed even more so with the discovery that the mtDNA made enzymes and proteins that were needed for its own functionalities. The fact that the mitochondria also contains a double membrane also depicts the notion that it was originally a free living organism that was later ingested into another host.[1] Mitochondria are produced by other mitochondria that act as "structural templates". A cell's two DNA genomes are still not aware of how mitochondrial membranes are assembled, showing that a mitochondria's structure isn't dictated by our DNA but must be passed on to future generations.
Mitochondria DNA
Mitochondria are the energy processing organelle that is found in the cell. Alongside with chloroplast, mitochondria are part endosymbiont theory, as stated above. The endosymbiont theory clearly stated the following about mitochondria and chloroplasts: it is enclosed by a double-membrane, it is about the same size as bacteria, it has its own circular DNA, its ribosomes are bacteria-like, and it has prokaryotic activities such as respiration and photosynthesis (mitochondria and chloroplasts respectively). Focusing on the third point about having its own circular DNA, mitochondria DNA (mtDNA) was found to be able to self-translate and replicate itself.
Genetics of mtDNA
Unlike nuclear DNA which is inherited from both mother and father, the mammalian mtDNA is only inherited from mother. The mitochondria in mammalian sperm are destroyed in the fertilized oocyte. However, the replication pathway of mtDNA is very similar to nuclear DNA. Before replication, mtDNA becomes unwind by TWINKLE, which is a protein used to undo the double-stranded DNA. After the double-stranded is undone, it is replicated at one end with the help of mtDNA polymerase. mtDNA polymerase starts to form another double-stranded starting at 5' end of the mtDNA. Another protein called mitochondrial single-stranded binding (mtSSB) helps stabilize the unwound conformation and stimulates DNA synthesis by the polymerase holoenzyme.
Unfortunately, mtDNA replication displays no strict phase specificity as in nuclear DNA synthesis. Therefore, segregation of heteroplasmic mtDNA mutation can occur as a cell divides.
Mitochondrial transcription
The transcription mechanism in mitochondria is likely similar to transcription in nucleus. However, there are some differences between RNA synthesis in mitochondria and in nucleus. The individual strands of the mtDNA molecules are denoted heavy strand (guanine rich) and light strand (guanine poor). This nucleotide bias explains why some codons are rare or absent in mitochondrial RNA.
The compact mammalian mtDNA genome lacks introns. The entire strand codes for either proteins, rRNA, or tRNA. Therefore, there is no need for slicing process in mitochondria
Each of the protein and rRNA genes is immediately flanked by at least one tRNA gene.
Some Interesting Discoveries about Mitochondria
1. Albert Claude, who was a Belgian biochemist discovered in the first half of the last century discovered that Mitochondria catalyzed respiration. He did this by isolating them through centrifugation.
2. Scientists started from there and managed to map out the flow of electrons in cellular respiration in the past two decades.
3. Peter Mitchell then discovers that the key to the flow of free energy in respiration and photosynthesis is stored within the ion gradient across membranes. He receives a Nobel Prize for it in 1978.
4. Mitochondria is bordered by 2 membranes and, and holds one tenth of the cell’s proteins. Mitochondria also converts 10,000 to 50,000 times more energy per second than the sun does.
5. Mitochondria was also discovered to play a pivotal role in programmed cell death, or apoptosis. This shows mitochondria to thus also be part of the signal transduction network in the cell. For programmed cell death, Mitochondria first releases proteins called cytochromes into the cell’s cytoplasm. It is these signals that could potentially release proteases and nucleases onto the cell and trigger cellular suicide.
6. Isolated Mitochondria were discovered to produce their own proteins even though the identity of these proteins are yet to be determined.
7. It is a theory that Mitochondria evolved from bacteria, which explains why it is such an independent organelle and doesn’t seem to depend on other parts of the cell for survival. Another evidence for this rests in the fact that the mechanism for protein synthesis in mitochondria is similar to that in bacteria.
8. Mitochondria spread by growth and division of previously existing mitochondria. Mitochondria are thus able to tell building blocks for new mitochondria where to go and what to do.
9. Recent discoveries have revealed that mitochondria actually have a lot of extramitochondrial molecules that help regulate the expression of genes that turn into mitochondrial proteins. Peroxisomal-proliferator-actived receptor coactivator 1 (PGC1) plays a major role in this process.
10. The space in between the mitochondria’s membranes was recently discovered to be able to oxidize sulfhydryl groups to disulfide bridges even though that space is surrounded by highly reducing environments.
Role in Aging
Scientists believe that there is a strong correlation between mitochondrial dysfunction. Mitochondrial dysfunction is one of mitochondrial diseases and is caused by reactive oxygen species (ROS). Reactive oxygen species cause oxidative damage that degrades the ability of mitochondria to make ATP. This means that mitochondria fail to carry out their metabolic functions, leading to cell death [2]. Since mitochondrial dysfunction is a factor of cell death, it is reasonable to believe that such a correlation between mitochondrial dysfunction and aging exists. It should be noted before anything that regulation of complex protein-folding environment within the organelle is vital for keeping productive metabolic output. The reason for its necessity is that without efficient metabolic output, chemical wastes and heat produced in metabolic processes, which are potential harms to the cell, cannot be transported out of the cell. Despite the fact the cells do have such complex systems to maintain efficient metabolic output, several factors come into play to prevent this. We note 2 factors here; 1. It is inevitable that over a long period of time, dysregulation of protein homeostatis arises through stress caused by the accumulation of reactive oxygen species. 2. A failure at maintaining efficient metabolic output can also be induced by mutations in the mitochondrial genome introduced during replication.
These two reasons that deteriorate mitochondria's normal functions are dependent on time; the longer a mitochondrion lives, the magnitude of these time-related effects increases. Therefore, it is believed that damage incurred on mitochondria is deeply involved in aging.
Reactive Oxygen Species (ROS) Having explained that reactive oxygen species are a crucial factor in aging, it is necessary to figure out what they really are. By definition, they are chemically reactive molecules containing oxygen. [3] These are examples of some reactive oxygen species; 1. molecules like hydrogen peroxide 2. ions like hypochlorite ion 3. radials like hydroxyl radial (this is the most reactive of all kinds of reactive oxygen species) 4. ions like superoxide anion (this is both ion and radical) [4] These reactive oxygen species are generated by the electron transport chain.

Roles of the mitochondrial proteome in aging
The mitochondrial proteome sustains the cell's cellular metabolism. Cellular metabolism inside mitochondria such as ATP production, apoptosis, and regulation of intracellular calcium. They are all essential elements to sustain life. However, the costs of maintaining such functions are the damaging effects of reactive oxygen species, as mentioned earlier. The mitochondrial proteome comprises mitochondrial and nuclear DNA-encoded proteins that needs folding and assembly within mitochondria. The two genomes that code for the structural requirements are damaged by accumulation of reactive oxygen species over time. The proteome of mammals is made up of between 1000 and 1500 proteins. Here is a summary of protein production. The list shows how proteins made in the cell are transported into mitochondria in the cell. 1. proteins are encoded in the nucleus 2. proteins are translated in the cytoplasm 3. the unfolded state of the proteins is maintained and then is imported into mitochondria. Unfolded proteins are needed to to construct ETC in mitochondria. To assist mitochondrial biogenesis and transferring of mtDNA and proteome, mitochondria must go through series of fission and fusion. Just like other organelles do, this organelle fission functions to multiply the number of mitochondria. It also serves to remove defective organelles for autophagic degradation [5]
Misfolded and misassembled mitochondrial proteins Researchers have found that inhibition of mtDNA replication, accumulation of orphaned mitochondrial complex subunits or harmful protein aggregates and ROS all can create an excessive amount of misfolded mitochondrial proteins in yeast and Caenorhabditis elegans. It should be reasonable that accumulation of such misfolded and misassembled proteins generated by those factors lead to destruction of certain mitochondrial metabolic function and its dysfunction ultimately. Here is a summary of how aging disease in mitochondria occurs 1. Reactive oxygen species accumulate inside the mitochondrion 2. This follows two possible consequences. One is that reactive oxygen species react with mtDNA and cause mtDNA mutations. It should be emphasized once again that reactive oxygen species are highly reactive agents. The other possible consequence is reactive oxygen species directly attack mitochondrial proteins. The proteins are distorted as a result. 3. mtDNA mutations caused by reactive oxygen species no longer encode for ordinary mitochondrial proteins. What encoded and translated from these mutated mtDNA are, in fact, misfolded proteins. 4. Keep in mind that proteins are used to build the complicated network of ETC. When misfold proteins are created, as long as they are present in the mitochondria, they will be used as building blocks of ETC. ETCs with misfolded proteins embedded in them no longer function properly. In other words, the mitochondria face ETC dysfunction. 5. ETCs with misfolded proteins cause to create more reactive oxygen species. As more reactive oxygen species are generated, this vicious cycle continues and misfolded proteins accumulate inside the mitochondria. Over time, the mitochondria die.
Non-native amino acids that damage the three dimensional structure of proteins are actively generated in the process of cytosolic translation of mitochondrial proteins [6]. Degrees of challenge of non-native amino acids derived from errors in cytosolic translation (under optimal conditions) - nearly 10% of newly synthesized proteins are mistranslated - 20-30 % of all nascent polypeptides are quickly denatured permanently due to folding errors
Organelle biogenesis and complex assembly Complex I of ETC is named as the NADH-ubiquinone oxidoreductase. Complex I is known to possess about 45 subunits. And mutations or functional failures are known to be potential causes of neurodegenerative diseases. Such diseases include Parkinson's disease. Out of the 45 subunits of ETC, 7 of them are encoded by the genome in mitochondria. They need to be embedded into the mitochondrial inner membrane because that is where they build stoichiometric complexes with nuclear-encoded components. Suppose that one of the subunits was misexpressed due to mutation. Then the entire network of ETC is doomed to collapse. In other words, mutations or deletions of ETC's subunits (even just single mutation or deletion), have a tremendous effect on whole complex formation. This illustrates the significance of the coordination of genome of proper complex assembly and function.
Mitochondrial compartments There are four compartments in mitochondria where protein folding and assembly happens. The four compartments are the outer membrane, intermembrane space, inner membrane and matrix [7]. It should be stressed that misfolded proteins can build up in those compartments. The interesting fact is that there exists a structure in the mitochondria that monitors these levels of accumulation. Compartment-specific QC machinery is the one which is responsible for monitoring the accumulating unfolded proteins. Normal fold proteins have hydrophobic amino acids buried inside them and their heads often stick out. Caperones and QC proteases then come into place to acknowledge these hydrophobic amino acid heads. We should divide how the QC monitors the level of unfolded proteins into each compartment. Outer Membrane It seems from recent evidence that cytosolic chaperones and the ubiquitin-proteasome system are involved in the mechanisms that regulated quality control of mitochondrial protein import or outer membrane proteins. Nuclear-encoded proteins which are ordered to form mitochondria are translated in the cytoplasm. The chaperones are used to sustain precursor proteins that are unfolded or misfolded. They also serve to prevent protein accumulation during delivery to the translocase of the outer membrane channel
Damage done by different types of reactive oxygen species
-reactive oxygen species attack mitochondrial proteins and DNA during cell division -superoxide anion is derived from dominantly from complexes I and III of the ETC during oxidative phosphorylaiton. Superoxide anion, having a strong negative charge upon it, can deteriorate all four mitochondrial compartments. - storing up an excessive amount of reactive oxygen species could totally overwhelm mitochondrial ROS-detoxifying systems. - reactive oxygen species may directly interfere with protein folding by changing its amino acid sequence, giving its secondary and tertiary structures inevitable and irreversible changes - reactive oxygen species may indirectly interfere with protein folding by introducing mutations in genes encoded by mitochondrial or nuclear DNA. - note that mtDNA is very vulnerable to oxidative damage because it is located ner the site of reactive oxygen species production and does not have histone protection
Age-associated organelles damage
In the long run, the decrease in mitochondrial function caused by reactive oxygen species and mtDNA and others leads to the onset of progressive age-associated pathologies [8]
1. cancer
2. neurodegeneratin
3. hearing loss
It is should be aware that accumulation of destruction caused by free radical is one of the most commonly cited effects of age-related mitochondrial dysfunction.
Researchers have used knockin mouse strains that express error-prone mtDNA polymerases that ignore proof-reading activity. The mous matures normally, but showed properties that are determined to be accelerated aging. These symptoms included; - apoptosis - curvature of the spine - reduced fertility - weight loss - early death [9].
Recent research into aging has lead scientists to believe that damage done by free radical oxygen may be one reason why organisms die from old age. Reactive Oxygen Species, or ROS, are produced in greatest quantity at the mitochondria, so this organelle is the most likely to be damaged by the free radical oxygen. Increases in ROS damage the mitochondria in several ways. They can modify amino acids and mutate the genes in mitochondrial and nuclear DNA, all affecting proper protein folding. Furthermore, ROS causes oxidative damage to mitochondrial DNA (mtDNA), especially because mtDNA is near the ROS production area[10]. Mutations on the mtDNA could result in reduced ATP production, increased ROS production, and eventual apoptosis. The increased ROS production has the added effect of being potentially harmful to the cell hosting the mitochondria, which could cause mutation in the cell DNA.
Anti-aging research has shown in some model organisms that by genetically disrupting the function of mitochondria life span has been increased. This is because ROS production was decreased so that less damage was done to the mtDNA. Specifically, a reduction in the mitochondrial function of the electron transport chain (ETC) in c. elegans increased longevity of the organism.
Scientists hope to be able to apply this to extending human lifespan by somehow incorporating reduced mitochondrial function with a treatment of dietary restriction (DR). By reducing the amount of calories taken in, but not to the point of starvation, cellular processes would change such that emphasis is placed on maintaining existing cellular structures rather than generating new structures to replace old structures. This would cause cells to persist in the body longer and there would be fewer mutations due to gene replication during mitosis.
Recent studies have underscored the importance of mitochondrial quality control (QC) pathways such as chaperones and proteases in solving mitochondrial dysfunctions. The protease complex "Lon" contains a cofactor made of iron-sulfur clusters; it is therefore suspected that Lon plays a role in targeting proteins by making them susceptible to oxidative damage. Findings suggest that a lack of Lon in yeast and mammalian cells results in excess proteins and mtDNA deletions, as well as respiration loss[11]. These all suggest that Lon plays a role in quality control systems in the mitochondria. On the other hand, over-expression of Lon in the fungus Podospora anserina leads to greater cell life span[12]. This suggests that there can be ways to artificially enhance the activity of proteases in order to increase cell longevity. Although many studies have strongly implied the importance of chaperones and proteases in anti-aging properties, it is important to note that fewer studies have been done in mammals.
Mitochondrial protein import
Although mitochondria have unique genetic and protein synthesis system, majority of mitochondrial proteins are synthesized as precursors in the cytosol and are imported to mitochondria from the cytosol. Now, five different protein import pathways have been distinguished. Since these pathways cooperate with each other and are connected to other systems that function in the respiratory chain, mitochondrial membrane organization, protein quality control and endoplasmic reticulum-mitochondria junctions, mitochondrial protein import is highly responsible for major mitochondrial functions.
Two classical import routes:
Classical import routes include presequence pathway and carrier pathway. Both pathways use the core of TOM (translocase of the outer mitochondrial membrane) complex, which is the main protein entry gate of mitochondria including Tom 40, to transport precursor from the cytosol to intermembrane space.
Presequence pathway targets proteins carry cleavable presequences, which are peptide extensions of about 10 to 60 amino acids residues located at the N-terminal end of the protein
- Cleavable precursor proteins are recognized by the receptor Tom20 and Tom22 and are transported across the outer membrane from the cytosol to intermembrane space through Tom40 channel
- Cleavable precursor proteins are then transferred to Tim23 complex (presequence translocase of the inner mitochondrial membrane) with the help of intermembrane space-exposed proteins, including Tim25 and Tim22. The membrane potential of the inner membrane enables Tim23 channel to translocate the preseqyebces across the inner membrane. The transport of protein into the matrix requires the ATP that powers the PAM (presequence translocase-associated motor).
- Presequences-carrying precursors are inserted into the inner membrane by two different ways. A) Many presequence-containing inner membrane proteins are laterally released from the Tim23 complex as the inner membrane proteins. Some of the hydrophobic sorting signal of some presequences are removed by the inner membrane peptidase complex and released into the intermembrane space as the intermembrane space proteins. B)Other precursor proteins are first transported into the matrix and eventually integrated into the inner membrane through Oxa1 export complex.
Carrier pathway transports non-cleavable precursor proteins into inner membrane.
- Non-cleavable precursors are recognized by the receptor Tom70 and are transported across the outer membrane from the cytosol to intermembrane space through Tom40 channel
- The precursor proteins are then guided by small TIM chaperone, such as Tim9-Tim10 complex, to the Tim22 complex (the carrier translocase of the inner mitochondrial membrane). The membrane potential of the inner membrane enables Tim22 to insert precursor proteins into the inner membrane as the carrier proteins.
Two routes of inserting proteins into the outer membrane:
The outer membrane of mitochondria contains two classes protein: β-barrel proteins, which are probably derived from the bacterial ancestor of mitochondria, and proteins with α-helical transmembrane segments, which are probably derived from the eukaryotic cell. The two routes of inserting two different proteins are called β-barrel pathway (SAM) and α-helical insertion (Mim1) reprehensively. Although SAM and Mim1 complexes insert precursor proteins independently, they can cooperate with each other to assemble some outer membrane complexes, such as TOM complex, which consists of central beta-barrel protein Tom40 and some α-helical subunits.
β-barrel pathway inserts β-barrel protein via SAM complexes
- β-barrel precursors are recognized by TOM receptors and are translocated to the intermembrane space by Tom40 channel.
- β-barrel precursors are then guided by small TIM chaperone to the SAM complex, Sam50 and Sam35, and are converted to outer membrane β-barrel proteins, which is also linked to ER-mitochondria junctions due to the dual localization of Mdm10 in SAM and ERMES, ER-mitochondria encounter structure
α-helical insertion inserts most Tom proteins, which have a single α-helical transmembrane segment, and outer membrane proteins with multiple α-helical transmembrane segments via Mim1, which contains one α-helical transmembrane segment.
- α-helical precursors are recognized by Tom and are transferred to Mim1.
- α-helical precursors are then interacted with Mim1 and are inserted into the outer membrane. [The exact function of Mim1 and how Mim1 really inserts precursor proteins is still unknown]
Protein import into the intermembrane space:
Mitochondrial intermembrane space assembly pathway (MIA) targets the intermembrane space precursors, which are cysteine-rich.
- The precursors are transferred from cytosol to intermembrane space though TOM complexes in a reduced state.
- When the precursors are in the intermembrane space, the precursors are oxidized and are immediately bound with Mia40, forming a transient disulfide bond. Then, Mia40 forms the oxidative folding of proteins, Erv1, to function as disulfide relay. Erv1 catalyzed the formation of disulfide bonds in Mia40 that oxidizes cysteines in the precursor proteins. As a result, new disulfide bonds are formed. Electrons flow from Mia40 to Erv1 and eventually to respiratory chain. In other words, Mia40 acts as a receptors that recognizes the precursors and enables the translocation of precursors into intermembrane space.
References
- ↑ The Evolution of the Cell
- ↑ http://www.mrc-mbu.cam.ac.uk/research/mitochondrial-dysfunction
- ↑ http://en.wikipedia.org/wiki/Reactive_oxygen_species
- ↑ http://users.rcn.com/jkimball.ma.ultranet/BiologyPages/R/ROS.html
- ↑ “Mitochondrial protein quality control during biogenesis and aging” by Brooke M. Baker, Cole M. Haynes
- ↑ “Mitochondrial protein quality control during biogenesis and aging” by Brooke M. Baker, Cole M. Haynes
- ↑ “Mitochondrial protein quality control during biogenesis and aging” by Brooke M. Baker, Cole M. Haynes
- ↑ “Mitochondrial protein quality control during biogenesis and aging” by Brooke M. Baker, Cole M. Haynes
- ↑ “Mitochondrial protein quality control during biogenesis and aging” by Brooke M. Baker, Cole M. Haynes.
- ↑ Brooke M. Baker, Cole M. Haynes, Mitochondrial protein quality control during biogenesis and aging, Trends in Biochemical Sciences, Volume 36, Issue 5, May 2011, Page 255, ISSN 0968-0004, 10.1016/j.tibs.2011.01.004. <http://www.sciencedirect.com/science/article/pii/S0968000411000156>
- ↑ Brooke M. Baker, Cole M. Haynes, Mitochondrial protein quality control during biogenesis and aging, Trends in Biochemical Sciences, Volume 36, Issue 5, May 2011, Page 258, ISSN 0968-0004, 10.1016/j.tibs.21.01.00014. <http://www.sciencedirect.com/science/article/pii/S0968000411000156>
- ↑ Brooke M. Baker, Cole M. Haynes, Mitochondrial protein quality control during biogenesis and aging, Trends in Biochemical Sciences, Volume 36, Issue 5, May 2011, Page 259, ISSN 0968-0004, 10.1016/j.tibs.2011.01.004. <http://www.sciencedirect.com/science/article/pii/S0968000411000156>
IF1: setting the pace of the F1Fo-ATP synthase. Campanella, M. Trends in Biochemical Sciences, Volume 34, Issue 7, 343-350, 25 June 2009.
Scherz-Shouval, Ruth, et al. Regulation of autophagy by ROS: physiology and pathology
Schatz, Gottfried. The Magic Garden, Annual Review of Biochemistry, 2007: 673-78.
Falkenberg, M., Larsson, N., & Gustafsson, C. M. (2007). DNA replication and transcription in mammalian mitochondria. Annual Review of Biochemistry, 679-699.
Mair, William, and Andrew Dillin. "Aging and Survival: The Genetics of Life Span Extension by Dietary Restriction." Annual Review of Biochemistry 77.1 (2008): 727-54. Web
Wager, Peter. Exercise Physiology. Aug 17,2011.
Becker, Thomas, Lena Böttinger, and Nikolaus Pfanner. "Mitochondrial Protein Import: From Transport Pathways to an Integrated Network." Trends in Biochemical Sciences 37.3 (2012): 85-91.
Hamanka, Robert B., and Navedeep S. Chandel. "MItochondrial reactive oxygen species regulate cellular signaling and dictate biological outcomes." Trends in Biochemical Sciences 35 (2010): 505-13.
Fischer, Fabian, Andrea Hamann, and Heinz D. Osiewacz. "Mitochondrial quality control: An integrated network of pathways." Trends in Biochemical Sciences 37 (2012): 284-92.
Slonczewski, Joan L. Microbiology "An Evolving Science." Second Edition