Medical Physiology/Cellular Physiology/Cell junctions and Tissues
Introduction
Cells are organized to form tissues, and tissues are organised to form organs. Tissues are formed by an aggregation of like cells carrying out a like function. Cells are linked together by cell junctions and are supported by a matrix which they themselves secrete.
The cell junctions are basically of three types, tight, desmosomal, and gap. We will look at these in more detail in the next section.
Histologists classify the tissues according to their physical features; physiologists tend to classify tissues according to their function. There are four major types of tissue: epithelial; connective; neural; and muscular. The following table summarizes the difference between these tissues.
| Features | Matrix | Other Characeristics | |
|---|---|---|---|
| Epithelial | Organized in sheets. Provides covering: Lines body surface, hollow organs, cavities and tubes. Provides tissues for secretory glands. | Matrix is minimal in ammount, forming the basement membrane of the sheets of epithelial cells. | Cells are polarized with a 'surface' and 'basement' side. The surface side may have special characteristics such as cilia or microvilli. The membrane functions also often differ. |
| Connective | Characterised by a varied and extensive matrix. Cells are usually scattered irregularly in this matrix. Cell shape is irregular to round. | Matrix is varied consisting of numerous protein fibers in ground substance. Consistency varies from liquid (blood) to gelatinous; from firm (fibrous tissue,cartilage) to solid (bone). | Found throughout body, forms the support and structure for organs and the body itself. |
| Nerve | Cells can generate electrical signals. Highly branched. | Neural tissue has no matrix. Support is provided by other specialized neural cells. | Found throughout body with concentrations in the brain, the spinal cord and the enteric nervous system of the gut. |
| Muscle | Cells can generate electrical signals, which result in contraction. 'Voluntary' muscle makes up skeletal muscles; Cardiac muscle powers the heart; smooth muscle surrounds hollow organs and tubes. | Muscular tissue does not secrete its own matrix. Skeletal muscle is supported by fibous tissue, and is attached to tendons. | Intestinal Smooth muscle and Cardiac muscle both have cell to cell communication. |
Cell Junctions

It is the junctions that allow individual cells to be organized into tissues. Numerous proteins called cell adhesion molecules (CAMs) have been identified, and the illustrations shown really represent a generqalization. These proteins are being intensively studied because of their importance in cancer and the embryonic development organization of the nervous system. According to Ganong the proteins can be divided into four large groups, integrins, IgG superfamily, cadhedrins and selectins. A Biochemistry text should be consulted of more information on these proteins.
The tight junctions can be found at the apexes of many lumen epithelial cells, and forms a 'water tight' occlusion that prevents leaking of water, substrates and ions from the extra cellular fluid to the lumen. That having been said, there is evidence that some tight junctions are more 'leaky' than others, and that this 'leakiness' is under hormonal control. Desmosomes and Zona Adherens junctions hold cells together.The Zona Adherens is a continuous band, whereas Desmosomes are more in the nature of a 'spot weld'. They allow passage of some substances between the cells. Gap junction give direct communication from cell to cell. They are found in many epithelial cells, but most famously they exist in Cardiac muscle and intestinal smooth muscle

Tight (Zona Occludans) Junctions
Zona Adherens Junctions
Desmosome Spot Junctions
Gap Junctions
Epithelia

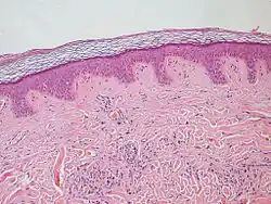
Histologists classify epithelia cells by appearence. Single layer epithelias is called 'simple'; multilayer is called stratified. The diagram below shows a typical histological classification. Plain light microscope appearances appear in the thumbnails to the right.
Histological classification of Epithelia
Illustration showing layers of the skin
As physiologists we find it more useful to classify epithelia by function:
- Exchange Epithelia
- Transport Epithelia
- Protective Epithelia
- Ciliated epithelia
- Secretion epithelia
A brief description is given below. More detail is given in the sections dealing with different orga types.
Exchange Epithelia
Thin flattened cells that allow the easy exchange of gasses. These are found in he capillaries and the lungs.
Transport Epithelia
These epithelia are found lining the tubes of the intestine and the kidney.
- The cells are usually columnar and regulate the exchange of nutrients an ions.
- The apical surface usually has microvilli, fingerlike projections that can increase the absorptive area up to 100X.
- These cells are usually bound together with tight junctions
- These cells usually have a high metabolism (numerous mitochondria)
Protective Epithelia
Prevent exchange between the internal and external environment, examples include:
- skin
- linings of upper respiratory system
- mouth
- oesaphagus
- urethra
- vagina
Ciliated epithelia
Line parts of the respiratory system - where they propel mucous laden with particulate matter out of the lung and the fallopian tube - where they waft the ovum to the uterus.
Secretion epithelia
Form either exocrine or endocrine glands
Connective Tissue
Connective tissue can be classified into the following groups:
- Loose Connective Tissue
- Dense Irregular Connective Tissue
- Dense Regular Connective Tissue
- Adipose Tissue
- Blood
- Cartilage
- Bone
Detailed histology is really outside the scope of this book. Physiologists need to know enough to under stand function. Brief descriptions are given below, fuller descriptions will be given in the appropriate sections on systems. A good histology book is recommended for more a detailed description.
Loose Connective Tissue
Loose Connective Tissue has a gel like ground substance with more ground substance than fibers or gel. The main cell type are fibroblasts, and it is foundaround blood vessels and organs and under the epithelia. What anatomists call 'loose fasia' is mainly Loose Connective Tissue.
Dense Irregular Connective Tissue
Dense Irregular Connective Tissue has more fibers than ground substance. The fiber type is mainly collagen, and the dominant cells are fibroblasts. Dense Irregular Connective Tissue forms the sheaths of nerves and muscles. Anatomists 'organized fascia' is of this type.
Dense Regular Connective Tissue
Parallel fibers of collagen. This connective tissue makes up ligaments and tendons
Adipose Tissue
Fat cells are found distributed throughout the body. There is very little ground substance
Blood
This will be reviewed in detail in the sections on Blood and immunology
Cartilage


There are really two kinds of cartilage:
- Hyaline Cartilage
- Fibro cartilage.
Hyaline Cartilage is found lining the joints and is mainly firm hyaluronic acid. Fibro cartilage is found in the ear, the septum of the nose, and tracheal rings. A characteristic of cartilage is that it has no blood supply.
Bone
Bone makes up the skeleton. It consists of two types, cortical and trabecular bone. It will be considered in more detail in its own section.
Cortical or Compact Bone


The thumbnails show calcified and decalcified cross sections of bone. Cortical bone occurs in the shafts of long bones.
Spongy or Trabecular Bone

Trabecular bone appears in vertebrae and the metaphyses (ends) of long bones.
Muscle
Skeletal Muscle


Smooth Muscle Cells

Cardiac Muscle
Neural Tissues

